Dolor de rodilla revela “hilos dorados” en una mujer de Corea del Sur

Rodilla

Una mujer surcoreana de 65 años buscó alivio para su artrosis de rodilla mediante tratamientos convencionales, pero los medicamentos le provocaron fuertes dolores de estómago. Decidió probar la acupuntura con hilos de oro, una técnica alternativa popular en Asia. Lo que parecía un intento de aliviar el dolor terminó revelando un hallazgo inesperado en las radiografías.

Rodilla - Rodilla

De la medicina convencional a la acupuntura

La paciente había sido diagnosticada previamente con artrosis de rodilla, una enfermedad degenerativa que provoca dolor y rigidez en las articulaciones. Inicialmente, recibió analgésicos, antiinflamatorios y varias inyecciones de esteroides, pero el dolor persistió y los medicamentos le causaron malestar estomacal, por lo que los suspendió. Buscando alternativas, comenzó sesiones de acupuntura, aumentando la frecuencia cuando el dolor se intensificaba. Este caso refleja la experiencia de muchos pacientes con enfermedades crónicas que buscan alivio en tratamientos complementarios, aunque no siempre estén respaldados por evidencia científica.

Rodilla - Rodilla

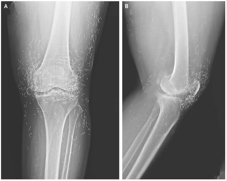
Hallazgos inesperados en las radiografías

Al acudir nuevamente al hospital por dolor intenso en la rodilla, los médicos realizaron radiografías que mostraron engrosamiento y endurecimiento de la tibia, además de espolones óseos. Lo más sorprendente fueron cientos de diminutos hilos dorados incrustados alrededor de la articulación, insertados durante la acupuntura para estimular el tejido de forma continua. Aunque estos hilos son visibles en radiografías, su presencia no está exenta de riesgos: pueden migrar, dañar tejidos cercanos o formar quistes. Su hallazgo subraya la importancia de conocer los antecedentes de tratamientos alternativos antes de realizar estudios de imagen.

Riesgos y consideraciones de la acupuntura con hilos de oro

La acupuntura con hilos de oro se utiliza en Asia para tratar artrosis y artritis reumatoide, pero carece de evidencia científica sólida. Además de los riesgos físicos, como migración de hilos y daño a tejidos, puede retrasar el inicio de tratamientos médicos adecuados, empeorando la enfermedad. También puede complicar procedimientos de diagnóstico, como resonancias magnéticas, debido a la presencia del metal. Los profesionales de la salud recomiendan que los pacientes conozcan estos riesgos y que los hilos sean monitoreados si se dejan en el cuerpo, aprovechando su visibilidad en radiografías.

  • Images in clinical medicine. Acupuncture with gold thread for osteoarthritis of the knee. Link.

Descubre más desde Cerebro Digital

Suscríbete y recibe las últimas entradas en tu correo electrónico.

ARTÍCULO PUBLICADO EN

Picture of Denis Carrillo

Denis Carrillo

Sobre mi, me gusta la música pop/rock, aprender idiomas, y andar en bicicleta. Me gusta leer y escribir sobre temas de la cultura asiática.

Deja un comentario

Publicidad

Scroll al inicio

Descubre más desde Cerebro Digital

Suscríbete ahora para seguir leyendo y obtener acceso al archivo completo.

Seguir leyendo