Durante más de medio siglo, una mujer en los Países Bajos vivió con un secreto tan extraño como aterrador: cada vez que miraba a alguien, su rostro se transformaba lentamente en el de un dragón. Lo que parecía un delirio era, en realidad, un raro trastorno neurológico que alteraba su percepción visual.
Una vida marcada por visiones de dragones

Desde su infancia, la mujer pensaba que todos veían el mundo como ella: rostros humanos que mutaban en hocicos alargados, escamas oscuras y ojos brillantes de tonos verdes, rojos o amarillos, o sea, veía dragones. Con el paso de los años, descubrió que era la única que experimentaba aquellas visiones. En la adolescencia, el peso del secreto comenzó a aislarla, pero aun así logró continuar con su vida.
La adultez no trajo alivio. Las conversaciones cara a cara eran extenuantes, el contacto visual se volvió insoportable al ver solo dragones aterradores y la vida social un desafío permanente. Sin embargo, consiguió graduarse, formar una familia y trabajar durante décadas como administradora escolar. Todo esto mientras lidiaba diariamente con un universo paralelo en el que los dragones poblaban los rostros humanos.
Lo más sorprendente es que nunca perdió la consciencia de que se trataba de alucinaciones. Sabía que las transformaciones en dragones no eran reales, pero no podía detenerlas. Además de los dragones, veía rostros donde no los había, sombras en movimiento y hasta insectos gigantes recorriendo sus manos. Durante años, vivió entre la lucidez y la distorsión constante de la realidad.
El diagnóstico de una rara condición neurológica

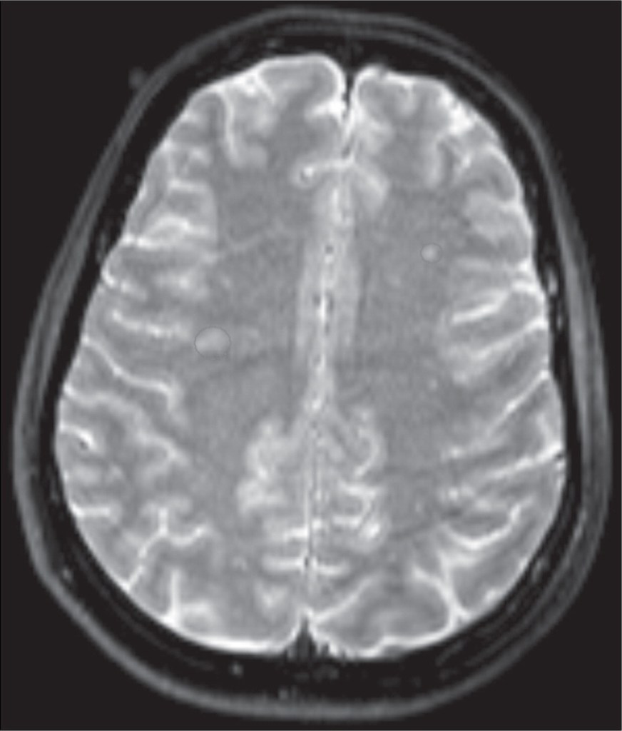
La mujer buscó ayuda médica recién a los 52 años, cuando acudió a una clínica psiquiátrica en La Haya. Al principio, los análisis y exámenes parecían normales: sangre, estudios neurológicos e incluso un EEG no mostraron anomalías significativas. Fue una resonancia magnética la que reveló la clave: pequeñas lesiones en la sustancia blanca cerca del núcleo lentiforme, área crucial para el reconocimiento facial, la memoria y la atención.
El hallazgo llevó a los especialistas a diagnosticarle prosopometamorfopsia, un trastorno neurológico extremadamente raro que deforma los rasgos faciales. La mayoría de los casos conocidos son temporales y están vinculados a migrañas, epilepsia o traumatismos craneales. Pero en su caso, la afección estaba profundamente arraigada y presente desde siempre, lo que hacía su situación aún más excepcional.
Los investigadores plantearon que su corteza visual pudo haberse desarrollado de manera anormal, posiblemente a causa de la falta de oxígeno en el momento de su nacimiento. Ese ligero daño neurológico fue suficiente para alterar la forma en que su cerebro procesaba los rostros. Con ello, cada encuentro humano se convertía en un desfile de criaturas fantásticas que solo ella podía ver.
Su caso llamó la atención del reconocido neurólogo Oliver Sacks, famoso por documentar patologías neurológicas inusuales. Gracias a él, la mujer fue contactada por un equipo holandés que publicó su historia en la revista médica The Lancet, ofreciendo al mundo una de las descripciones más detalladas de este trastorno.
El camino hacia un tratamiento efectivo
El diagnóstico trajo consigo la esperanza de encontrar un tratamiento. En un primer intento, los médicos le recetaron ácido valproico, un medicamento usado comúnmente en casos de epilepsia. Si bien redujo la intensidad de las alucinaciones de dragones, pronto aparecieron efectos secundarios severos, en especial trastornos del sueño que complicaban su vida diaria.
Ante esa situación, se probó con rivastigmina, un fármaco empleado habitualmente en el tratamiento de la demencia. Sorprendentemente, la medicación tuvo un efecto positivo: las visiones comenzaron a desvanecerse y, por primera vez en su vida, los dragones dejaron de invadir su percepción de manera constante. Aunque las alucinaciones no desaparecieron por completo, se volvieron lo suficientemente leves como para permitirle retomar la normalidad.
Hoy en día, la mujer sigue trabajando en la misma escuela en la que lo ha hecho durante años. Su entorno, antes distorsionado y caótico, se percibe mucho más estable. No obstante, los síntomas persisten en determinados momentos: cuando fija la mirada demasiado tiempo en un rostro, todavía pueden aparecer las deformaciones. Aun así, ha logrado un equilibrio que le permite vivir con la condición sin que arrase con su vida social y profesional.
El caso de esta mujer holandesa no solo revela la complejidad del cerebro humano, sino también cómo un pequeño daño neurológico puede transformar radicalmente la percepción de la realidad. Gracias al diagnóstico y a los avances médicos, los dragones que la acompañaron durante medio siglo ya no gobiernan su vida. Su historia abre nuevas puertas para comprender trastornos neurológicos poco conocidos.
Referencia:
- The Lancet/Prosopometamorphopsia and facial hallucinations. Link
COMPARTE ESTE ARTICULO EN TUS REDES FAVORITAS:
Relacionado
Descubre más desde Cerebro Digital
Suscríbete y recibe las últimas entradas en tu correo electrónico.
